放射治疗小贴士
来源:济宁市第一人民医院发布时间:2024-07-18
放射治疗是利用放疗室特种设备-医用电子直线加速器产生的高能射线照射病灶处杀灭癌细胞的一种治疗手段。放疗也被比作隐形的手术刀,虽然只有短短几分钟,但每个患者的治疗计划设计和实施实际上是非常复杂和严谨的。患者直接躺到治疗床上就可以治疗了吗?治疗时疼吗?让我们一起揭开它的神秘面纱…….
每天早晨治疗前,治疗技师会使用晨检模体、晨检仪进行机器剂量和机械性能检测,在严格确保机器的稳定性和准确性后,才开始一天的治疗工作。

每个患者第一次治疗都会紧张害怕,其实没有必要。治疗过程中患者也不会有任何不适的感觉,整个治疗过程不疼不痒,身体越放松,体位重复性越好,误差越小,治疗越精确。为此,治疗时机房有时会播放一些轻松舒缓的音乐利于患者更好地放松。治疗时我们也会进行实时监控,时刻关注机房内的治疗情况,总之患者放松即可。
2. 治疗技师怎样保证每天治疗体位达到较高的重复性?
每位患者在定位时均有各自的固定装置参数,包括头枕位置,背板刻度,臂拖的外旋角度、倾斜高度,腕托卡孔、手放方式等等,治疗师会按照定位数据一一核对,最后核对体位标记线,以保证体位重复性达到治疗要求,这就是治疗师的摆位工作。
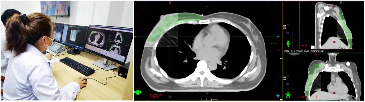
放射治疗的核心就是将加速器剂量准确投照到病灶(靶区)上,确保治疗位置的准确性是治疗工作的重中之重。在摆位工作的基础上,应用加速器的影像设备来确定靶区位置。如CBCT扫描,这是在治疗时获取如CT扫描一样的患者图像信息,通过与定位时的图像信息比对,获取患者位置误差,并进行在线校正,以此确保射线投照的精确性。

医生和物理师根据患者病情制定个体化的放疗计划,计划涵盖了静态调强、动态调强和容积旋转调强等放疗技术,每一种放疗技术治疗时间不一样、同一种放疗技术因射野参数不同,治疗时间也各异。另外,每周应用加速器的影像设备做位置验证时,患者在机房的时间也会有所延长,所以不同患者之间的治疗时长都不一样。
放疗结束以后,患者身上没有滞留的射线,可以正常接触家人和小孩,不用有任何的担心。