- 24小时服务电话
- 0537-6056666
-
微信服务号
-
微信订阅号
-
微信视频号
-
抖音号

科普园地
你是否知道,人的胃里也能长出“石头”?这可不是什么神话传说,而是真实存在的医学现象。当你享受着美味的柿子、黑枣或是浓茶时,这些看似无害的食物,竟然有可能在你的胃里悄悄孕育出一颗颗坚硬的“石头”。今天,我们就来聊聊这个让人意想不到的健康话题,并且重点介绍一种神奇的“照妖镜”——CT检查,如何成为我们胃里的“排石”神器。

一、什么是胃结石?
胃结石就是胃里形成了类似石头的固体团块。这些团块的形成原因多种多样,最常见的就是饮食因素。像柿子、山楂、黑枣这类富含鞣酸的食物,要是空腹大量食用,鞣酸在胃酸的作用下,就会和蛋白质结合,形成鞣酸蛋白,然后沉淀下来,慢慢就聚集成了胃结石。
除了饮食,胃部疾病,像胃排空延迟、胃动力不足,会让食物在胃里停留时间过长,也容易催生胃结石。还有些药物,它们的成分在胃里沉积,也可能成为胃结石形成的“帮凶”。
根据其组成成分,胃结石可以分为以下几种类型:
1.植物性胃结石(Phytobezoar):最常见的一种,主要由植物纤维(如水果、蔬菜)在胃内积聚形成,常见于食用大量柿子、橙子等富含纤维和鞣酸的食物。
2.毛发性胃结石(Trichobezoar):由吞食的毛发在胃内积聚形成,常见于有异食癖(如拔毛癖)的人群。
3.药物性胃结石(Pharmacobezoar):由某些药物(如抗酸药、缓释片)在胃内积聚形成。
4.乳石(Lactobezoar):主要发生在婴儿,由未消化的乳制品在胃内积聚形成。
二、胃结石的症状
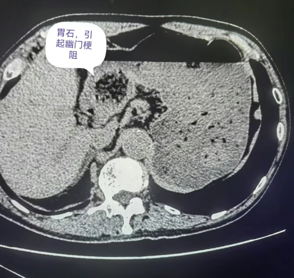
胃结石在初期可能没有明显症状,最多让人感觉有点上腹部不适或者饱胀,很容易被忽略。但随着它慢慢长大,就开始“兴风作浪”。腹痛是最常见的症状之一,疼痛程度不一样,有的是隐隐作痛,有的则是胀痛,甚至剧烈疼痛。还会出现恶心、呕吐的情况,要是结石损伤了胃黏膜,还可能引发呕血、黑便。更严重的,胃结石可能导致幽门梗阻,让食物无法正常通过,那可就麻烦大了。幽门梗阻发生时,食物和胃液无法顺利进入小肠进行消化和吸收,大量积聚在胃内,导致胃内压力升高,引发严重的呕吐。患者会频繁呕吐出大量酸臭的胃内容物,且呕吐后症状也难以缓解,还可能伴有脱水、电解质紊乱等严重并发症。
三、CT检查——胃结石的“照妖镜”
面对胃结石这个“不速之客”,CT检查以其独特的优势,成为了胃结石诊断中的“照妖镜”。
1.高清晰度。CT检查能够提供高分辨率的图像,清晰地显示胃内结石的位置、大小、形态以及周围组织结构的细节。这使得医生能够准确判断结石的情况,为患者制定科学的治疗方案。通过CT影像,医生可以清晰看到结石是光滑的还是粗糙的,这对于判断结石的性质和选择治疗方法至关重要。如果结石表面光滑,可能更容易通过药物溶石的方法进行治疗;而如果结石表面粗糙且有棱角,则可能需要考虑内镜下碎石或手术取石,避免在排出过程中损伤胃肠道。
2.三维重建。通过CT扫描获取的数据,可以进行三维重建,使医生能够从不同角度观察结石,更全面地了解病情。三维重建技术还可以帮助医生模拟手术过程,提前规划手术路径,减少手术风险。

3.无创性。CT检查是一种无创性检查方法,患者无需承受额外的痛苦或风险。相比其他检查手段,CT检查通常能够在较短时间内完成,方便患者及时得到诊断结果。传统的胃镜检查虽然也能直接观察胃内情况,但它属于侵入性检查,可能会给患者带来不适和一定的风险,如咽喉部损伤、感染等。而CT检查则避免了这些问题,患者只需躺在检查床上,配合医生的指令进行呼吸即可,整个过程相对轻松。
4.快速便捷。CT检查不仅能够快速完成,而且操作简便,患者只需躺在检查床上,配合医生的指令即可。这种高效的方式,大大缩短了患者的等待时间。对于一些病情紧急的患者,快速得到诊断结果至关重要。CT 检查能够在短时间内明确诊断,为医生及时采取治疗措施提供依据,避免病情进一步恶化。
四、CT影像:胃结石的“个性画像”
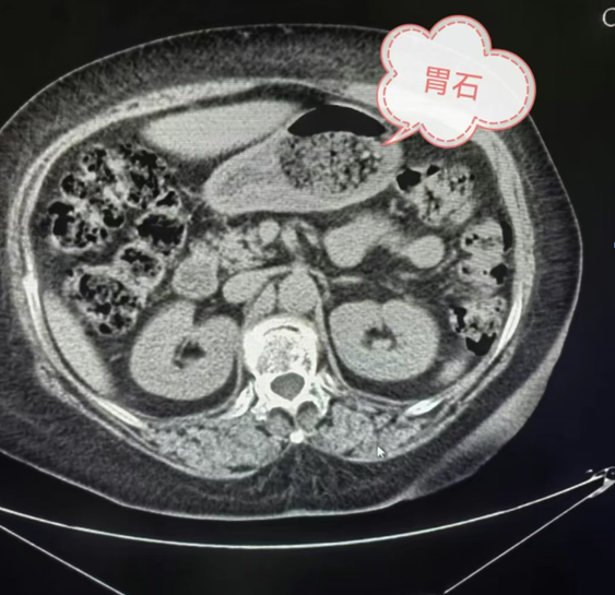
在胃结石的 CT 影像中,不同类型的结石有着独特的“长相”。当胃内存在植物性结石时,其影像表现通常为形状不太规则的低密度影。仔细观察,能看到内部有散在分布的点、条状稍高密度影,这是植物纤维的影像特征。若是混合性结石,CT影像则更为复杂,既有低密度的植物成分区域,又有因钙化或其他矿物质沉积形成的高密度区域,密度不均匀,边界也相对模糊。例如:在一些长期存在的胃结石中,由于钙盐的不断沉积,结石内部会出现钙化灶,在CT影像上表现为高密度影,与周围低密度的植物成分形成鲜明对比。

而CT增强扫描在胃结石诊断中也有特殊意义。对于一些与胃壁关系密切、难以判断是否侵犯胃壁的结石,增强扫描能清晰显示胃壁各层结构。正常胃壁在增强后呈现均匀强化,若结石周围胃壁强化异常,如局部增厚、强化程度改变,就提示胃壁可能受到了结石的刺激或损伤,帮助医生更准确评估病情严重程度,为后续治疗方案的制定提供更可靠的依据。当胃壁受到结石刺激发生炎症时,在增强扫描图像上,炎症部位的胃壁会出现增厚、强化程度增加的表现,这表明该区域的血供增加,是炎症反应的典型特征。医生通过观察这些变化,可以判断胃壁炎症的范围和程度,从而选择合适的治疗方法,如是否需要使用抗生素进行抗感染治疗,或者是否需要及时进行手术干预。

五、 CT检查在胃结石诊断中的作用
1.定位结石并确定大小。CT成像能力强,能精准呈现胃结石在胃内位置,无论是胃底、胃体还是胃窦都清晰可见,结石大小也能被准确测量。这些数据对医生制定治疗方案意义重大。例如:小结石可能适合药物溶石,大结石则更适合内镜下碎石或手术取石。
2.初步判断结石成分。CT影像如同结石的“身份证”,医生可通过观察结石密度和纹理特征,初步判断其成分。像植物性结石和毛发性结石在CT图像上表现不同,明确成分后,医生就能更有针对性地选择治疗方法。
3.评估周围组织损伤。CT不仅能发现结石,还能检测出结石对胃壁及周围组织的影响,如:是否引发炎症、溃疡等。这有助于医生全面评估病情严重程度,若发现胃壁有严重炎症或较大溃疡,就能及时采取积极治疗措施,防止病情恶化。
六、胃结石的治疗
胃结石的治疗方法根据胃结石的类型、大小和患者的症状而定,常见治疗方法包括:
1.药物治疗。对于较小的胃结石,可以使用药物促进胃结石溶解和排出,如碳酸氢钠、胃蛋白酶等。
2.内镜治疗。对于较大的胃结石,可以通过内镜进行碎石、取石等操作。
3.手术治疗。对于无法通过药物和内镜治疗的胃结石,可能需要进行手术治疗,如:胃切开取石术。
4.饮食调整。治疗期间,患者应避免食用不易消化的食物,如:柿子、黑枣等。增加膳食纤维的摄入,促进胃肠蠕动。
七、胃结石的预防
预防胃结石的形成,可以从以下几个方面入手:
1.合理饮食。避免大量食用不易消化的食物,如:柿子、黑枣等,注意饮食均衡。
2.保持良好的消化功能。定期进行体检及时发现和治疗消化系统疾病,保持良好的消化功能。
3.避免长期使用某些药物。如:抗酸药、抗胆碱能药物等,应在医生指导下使用,避免长期使用。
4.注意个人卫生。避免异食癖,尤其是儿童和青少年,应注意个人卫生,避免摄入毛发等异物。
胃结石虽然少见,一旦形成,可能会给患者带来不小的麻烦。通过CT检查这一“照妖镜”,我们可以及时发现并治疗胃结石,保护我们的胃健康。