俗话说“一人中风,全家发疯”,脑卒中影响一个家庭的生活质量。我国现有卒中患者超过1700万例,高居全球首位,且发病率逐年上升,并日趋年轻化,其中70%以上是缺血性脑卒中(脑梗死)。因此,早期筛查高危人群,及早进行有针对性地预防非常重要。其中,最常规的筛查手段就是颈动脉超声。下面我们来了解下相关知识。
一、什么是颈动脉超声?
颈动脉超声是诊断评估动脉壁病变的有效手段之一,利用超声波技术,观察血管走行、内-中膜是否增厚、有无斑块形成、斑块的回声性质、是否有血管狭窄及狭窄程度、有无闭塞等详细情况,并对病变进行测量和定位,同时对动脉的血流动力学结果进行分析。所谓“颈动脉超声”说的是颈动脉系统,根据部位不同可分为颈总动脉、颈内动脉、颈外动脉,通常我们还会同时检查双侧椎动脉及锁骨下动脉。

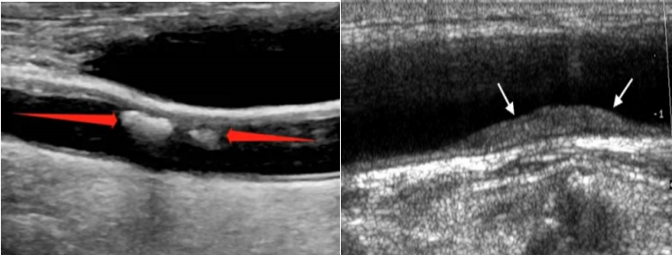
二、什么是颈动脉斑块?
颈动脉斑块是颈动脉最常见的动脉病变,通俗来说,颈动脉斑块就像水管里的水锈。受各种因素的影响,人体动脉血管会逐渐老化、硬化,血管内的“杂质”随着血流的流动不断地沉积到血管壁上,在血管壁上形成增厚的凸起,这就是斑块形成的过程。全身的动脉血管都可能“长斑”,其中尤以颈动脉斑块危害最大!
三、颈动脉斑块的危害
颈动脉是连接心脏和大脑的主要通道。如果颈动脉变得狭窄甚至闭塞,供应大脑的血流量会减少,使得大脑正常运行所需的氧气不足,就会出现头晕、头痛、嗜睡、耳鸣、黑朦、视力模糊、失眠、记忆力减退等一系列脑缺血症状。如果斑块脱落后,随血液进入人的脑血管,一旦将脑内血管堵塞,就会产生脑梗死的状态,造成失语、偏瘫、昏迷,甚至死亡等严重后果,这就是所谓的“中风”。
四、哪些人群适合做颈动脉超声?
1.有高血压、高血脂、糖尿病、心脑血管病等慢性病及家族史的人群。
2.出现头晕、耳鸣、恶心、失眠、头痛、晕厥、记忆力减退者等症状的人群。
3.吸烟、喝酒、嗜咸、嗜油腻、缺乏锻炼、肥胖、压力大等斑块形成相关危险因素的人群。
4.既往有颈动脉斑块的人群,需要定期复查,以检查斑块是否有变化进展,及时调整治疗方案。
5.颈动脉或者椎动脉支架置入术后、颈动脉内膜剥脱术后,要定期进行复查。

颈动脉超声检查不需要什么特殊准备,不空腹、不憋尿!检查当天可摘去项链等配饰,穿着宽松、易解开衣领扣子的衣服或弹性较好的中低领衣服,以充分暴露颈部,便于医生检查。
温馨提示
如果您检查出患有颈动脉斑块,建议您还是要去咨询医生,医生会根据您的实际情况,提供你一个合适的治疗方法。切记不可自己随意吃药。