欢迎访问济宁市第一人民医院官方网站

新闻中心


我院“肺部结节(肿瘤)早期诊断门诊”开诊了
来源:济宁市第一人民医院发布时间:2016-11-04

        随着社会的进步和人们生活水平的提高,人们越来越关注自身的健康,体检人数不断  增多,每年的体检都有一些人通过胸部影像学(胸片和CT)发现肺部单个小结节或肿块,大多数没有什么症状,既不咳嗽也不胸痛,有的有很轻微的不适,很多患者因为无法确定小结节的性质,给观察或诊治带来很大困难。


 
        目前,临床上对肺部小结节性质的判断手段仍然十分有限,很多发现肺部小结节的患者,辗转多家医院仍然不能得到科学、合理的处理和随访意见,给患者带来很大的压力,一方面如果为早期肺癌不能及时处理,则延误治疗时机,一旦发现转移进入晚期则带来不可估量的损失,另一方面,如果患者肺部结节属良性结节,如采用不恰当的治疗方法,如手术等,也会给患者造成生理和心理的损失。随着肺癌发病率的迅速上升,肺癌已占到肺部结节的一半以上,因此对于体检时发现的肺内结节绝不能忽视。但是目前对于肺部小结节的诊断和治疗尚存在诸多争论,如何鉴别这些小结节的性质,是我们面临的一大难题。
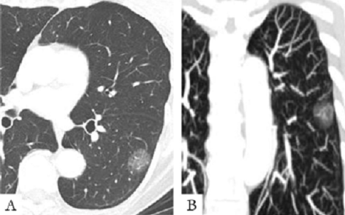
       在检查发现的肺部小结节患者中,相当一部分病人是单个的,很小的结节,称为孤立性肺部结节。孤立性肺部结节(solitary pulmonary nodule, SPN)是指肺部单发的、直径<3cm不伴有肺不张和肺门淋巴结肿大的类圆形病灶。在SPN中,良性肉芽肿约占50%,恶性肿瘤约占30%,其次有错构瘤、肺硬化性血管瘤、曲菌球、肺内淋巴结等。一般认为结节直径越小,病灶内显示脂肪和钙化者常提示为良性,其钙化之特点是呈中心性、爆米花状或弥漫分布的同心圆性,而有报告4%~7%的
肺癌也偶见钙化,但往往呈不规则的点状分布;恶性结节常呈分叶、细小短毛刺、空泡征、胸膜凹陷征、肺血管集中征以及病灶明显强化,最能提示为周围型肺癌的征象依次为空泡征、分叶征、短毛刺、胸膜凹陷和血管集束征。尽管良、恶性的CT征象在诊断中具有一定的指导意义,然而这也并非绝对,因为良、恶性病变的表现也有互相的交叉和重叠,而仅根据影像学对良、恶性肺部病变鉴别的正确率约为70%~80%。
         如果影像学检查发现肺部孤立性结节,一种方法是通过支气管镜检查、肺穿刺、胸腔镜下活检等手段尽早确诊;另一种方法就是定期随访复查。由于结节大小的变化对病变性质的判断非常重要,多数情况下,结节倍增时间小于1个月或稳定时间大于24 个月时恶性的可能性较小,因此,随访的间隔时间根据结节的大小和密度而定。
        对于肺内多发性结节,由于其部位、数量等有很大差异,目前也无法建议统一的标准技术进行检查和随访,这也是我们所面临的一大挑战。
        为了帮助患者排忧解难,济宁市第一人民医院刘瑞娟教授带领她的团队特开设“肺部小结节门诊”,采用科学、可行的技术手段和详细、规范的随访方案,帮助患者选择恰当的处理和随访方案,最大限度明确诊断、减少误诊率,提高早期
肺癌的诊断率,如有上述问题的患者,可来门诊讨论和诊断。
         肺部结节早期诊断门诊:星期四下午(总院区门诊楼二楼)
         坐诊专家:贾建军
        联系电话:0537-2253145

返回顶部

  • 总院区:济宁市任城区健康路6号
  • 东院区:济宁市高新区孟子大道269号
  • 西院区:济宁市任城区柳行路99号
  • 24小时服务电话:0537-6056666
  • 急诊120电话 : 0537-2257120

济宁市第一人民医院

24小时服务电话
0537-6056666
  • 微信服务号

  • 微信订阅号

  • 微信视频号

  • 抖音号

Copyright © 2019 www.jnrmyy.com. All rights reserved. 济宁市第一人民医院版权所有
鲁ICP备09036553号-2 技术支持:启航网络