- 24小时服务电话
- 0537-6056666
-
微信服务号
-
微信订阅号
-
微信视频号
-
抖音号

新闻中心
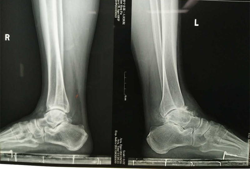
9月6日,济宁市第一人民医院手外科足踝外科成功为一名65岁男性患者实施了人工全踝关节置换术,开创了鲁西南地区相关治疗领域的先河。今天,患者已经进行了首次换药,病情稳定,正在康复中。

患者孙先生左踝关节疼痛已经8年多,加重伴肿胀及活动受限已经半年多。曾多次就诊诊断为“踝关节骨关节炎”,并予以针灸及药物等治疗,效果欠佳。手术前,患者已经不能独立行走,严重影响生活质量。为了通过手术彻底治疗,患者来到济宁市第一人民医院手外科足踝外科住院治疗。
踝关节置换术在医学界为难度较高手术之一。这也是鲁西南地区首例Inbone全踝假体置换术。该手术的成功开展标志着医院治疗终末期踝关节炎的水平再上新台阶。回顾世界足踝外科历史,全踝关节置换术目前历史约30到40年左右,因踝关节自身的解剖生理条件制约,踝关节承重大,但是动作幅度又相比膝关节、髋关节灵活,手术难度较高。从该手术方式发明至今,一直因手术技术和假体材料制约未能像其他关节置换术那样广泛开展。


截止2017年5月,全国共开展该类手术60余台,中国第一例全踝关节置换手术为上海瑞金医院徐向阳教授实施,而手术例数最多的为北京积水潭医院武勇教授。全踝关节置换手术对假体材料的功能、耐压、耐磨损等方面提出了更高的要求,因此全球生产厂商也就一两家,费用也较髋关节、膝关节假体高。
在市卫计委、医院领导的关怀下,在副院长郭洪敏教授和骨关节外科聂志奎教授的协调下,经过医院手术室、麻醉科等各相关科室负责人的多方努力,曾文超主任成功邀请到武勇教授,为此次手术顺利实施保驾护航。手术中室内人员全程身着重达25公斤的铅衣操作,用时3小时,完成了300余次手术操作过程,60余次透视,顺利完成此项手术。这也是济宁市第一人民医院手外科足踝外科成功完成的鲁西南首例、山东省第二例全踝关节置换手术。该手术的成功开展,标志着济宁市第一人民医院手外科足踝外科的技术水平已位居全国先进行列,同时也为广大踝关节病患解除疾病痛苦,带来了福音。

