欢迎访问济宁市第一人民医院官方网站

新闻中心


济宁市第一人民医院胸外科为七旬老人成功切除肺部巨大肿瘤
来源:济宁市第一人民医院发布时间:2021-06-09
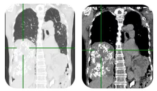
        79岁的殷老太近半月来出现胸闷乏力,CT检查发现:老人右侧胸腔有一个约15cmx14cmx10cm的巨大肿瘤,将心脏、左肺和纵隔的大血管结构挤压移位。经济宁市第一人民医院胸外科张康主任团队努力,为其进行全麻双腔气管插管下右肺肿瘤及右肺下叶切除加纵隔淋巴结清除术,历时1个半小时,成功为老人摘除右肺巨大肿瘤。
   
     
面对困难,他们勇于担当
 
        眼看着母亲承受着疾病的折磨,殷老太的儿女经多方打听,了解到济宁市第一人民医院胸外科有着非常好的口碑,便从老家菏泽郓城慕名前来就诊。
        3年前老太太CT检查已发现右肺占位,当时病变小无症状,未行诊治。10年前因左肺转移性软骨肉瘤行左下肺切除,20年前因左肩胛骨软骨肉瘤行手术切除,均在山东省齐鲁医院治疗,术后恢复尚良好。
      “老人十分瘦弱,体重只有41千克,很难想象胸腔内还藏着这么大的肿瘤。”胸外科马红梅护师回忆道。面对如此困难的疾病,张康主任团队没有丝毫退缩。
      入院后,张康专家团队对老人病情进行全面的检查和评估。检查发现右侧胸腔有一个巨大的肿瘤,压迫左肺、心脏、膈肌、右肺;肿瘤与膈肌、右肺动脉等胸腔内的大血管关系密切。结合患者病情,手术切除病变是目前最有效的治疗方案。
        面对复杂的疾病,张康主任仔细研究了患者胸部CT三维重建,明确了右肺肿物的解剖血供情况,评估了手术风险。最终,向殷老太太的儿女交代了手术的必要性,患者因右肺巨大肿瘤压迫右肺、左肺及膈肌、心脏,同时既往左肺下叶已被切除,肺功能损失严重,并且年龄大、体质差,导致目前胸闷乏力,严重影响患者日常活动。随着时间的延长,肿瘤会继续生长增大,患者呼吸困难症状将逐渐加重并危及生命。在征得家属同意与理解后,张康主任第一时间为患者安排了手术。
        为了确保手术顺利完成,心内科、神经内科、输血科、麻醉手术部等相关专家积极给予配合。
   
(资料图片)
              
历时1个半小时,顺利切除右肺巨大肿瘤
 
        5月中旬,张康主任主刀,张广敬、裴宝祥医师协助,在麻醉科刘冉医师、手术室秦贞腾护士及各学科专家的全力配合下,为患者顺利进行了全麻双腔气管插管下右肺肿瘤及右肺下叶切除加纵隔淋巴结清除术。
        术中发现,肿瘤质硬巨大,生长在右肺下叶占满了右下胸腔,右肺受压萎缩。因手术时患者需左侧卧位,左肺只剩下左肺上叶,术中肿瘤压迫心脏、左肺,按常规麻醉应行左肺单侧通气,右肺萎陷不通气,导致患者术中血氧不能维持,因此需要右肺通气膨胀下进行手术,造成手术视野暴露受影响,但在张康主任团队熟练操作下,仅历时1个半小时就顺利将右肺下叶及肿瘤切除,并清除了纵隔淋巴结,右肺中上叶也逐渐复张。术程非常顺利,术中出血量约100ml,无需输血,术后患者安全拔除气管插管转回胸外科病房继续治疗。
        经过术后9天的康复治疗,老人呼吸较前明显舒畅,解除了胸闷乏力呼吸困难的症状。目前,老人已顺利康复出院。       
返回顶部

  • 总院区:济宁市任城区健康路6号
  • 东院区:济宁市高新区孟子大道269号
  • 西院区:济宁市任城区柳行路99号
  • 24小时服务电话:0537-6056666
  • 急诊120电话 : 0537-2257120

济宁市第一人民医院

24小时服务电话
0537-6056666
  • 微信服务号

  • 微信订阅号

  • 微信视频号

  • 抖音号

Copyright © 2019 www.jnrmyy.com. All rights reserved. 济宁市第一人民医院版权所有
鲁ICP备09036553号-2 技术支持:启航网络