- 24小时服务电话
- 0537-6056666
-
微信服务号
-
微信订阅号
-
微信视频号
-
抖音号

新闻中心
近日,济宁市第一人民医院骨关节外科成功为一名肿瘤假体人工膝关节置换术后患者施行假体翻修手术,术后患者行走功能及日常生活明显改善。这标志着济宁市第一人民医院对复杂、疑难关节置换及翻修的治疗迈上了一个新的台阶。
今年58岁的王女士,7年前无明显原因出现右大腿远端的疼痛,疼痛逐渐加重,出现活动受限,不能行走,后经多次手术确诊为右股骨远端骨肉瘤,在医院给予右股骨远端切除、肿瘤假体人工膝关节置换手术。术后患者恢复良好,可完全自理并能田间劳动。

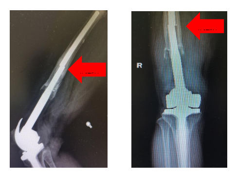
7月初,患者再次出现右大腿远端的疼痛,不敢活动,不能站立,右下肢活动时可听到异响,患者再次来到济宁市第一人民医院就诊,行X线检查显示为肿瘤假体股骨侧发生了断裂。
这类手术的常规做法,需要切开整个大腿的皮肤,整段劈开股骨,这会给患者造成极大的创伤。另外因整段劈开股骨,还要大量植骨,附加内固定,花费巨大。患者面对巨大的心理压力和经济负担,感到很绝望,一度心灰意冷,甚至想放弃进一步治疗。骨关节科主任聂志奎,副主任医师牛福文,仔细分析病情并耐心解释,让患者心中又燃起了希望。

入院后,完善相关检查,排除局部复发和肿瘤远处转移的可能,骨关节科团队经过多次详细讨论并充分设计,制定了手术计划。
手术中,聂志奎主任团队通过在股骨远端2cm×1cm大小的开窗,巧妙的将断裂的股骨假体取出,并更换了新的肿瘤假体,避免纵劈股骨造成的手术创伤及经济负担,术中无任何血管神经损伤,手术取得圆满成功。术后3天,患者已经能在助行器的帮助下下地行走。
聂志奎表示,肿瘤膝关节假体置换是骨关节外科难度系数较高的手术,翻修更是难上加难。此次骨关节外科成功完成肿瘤膝关节假体翻修术,得益于术前反复研究,因病制宜,巧妙设计和规划。通过团队的努力和付出,让患者更好的康复,为更多患者的健康保驾护航。