欢迎访问济宁市第一人民医院官方网站

新闻中心


【一院·技术】下肢肿胀险截肢 元凶竟是“股青肿”,济宁市第一人民医院血管外科成功为患者取栓保肢
来源:济宁市第一人民医院发布时间:2023-03-23
        近日,济宁市第一人民医院血管外科深夜急症收治了一位下肢肿胀的患者,是典型的“股青肿”,属于下肢深静脉血栓一种少见但非常严重的类型。后经紧急手术,该患者得到成功救治,避免了截肢风险。
 
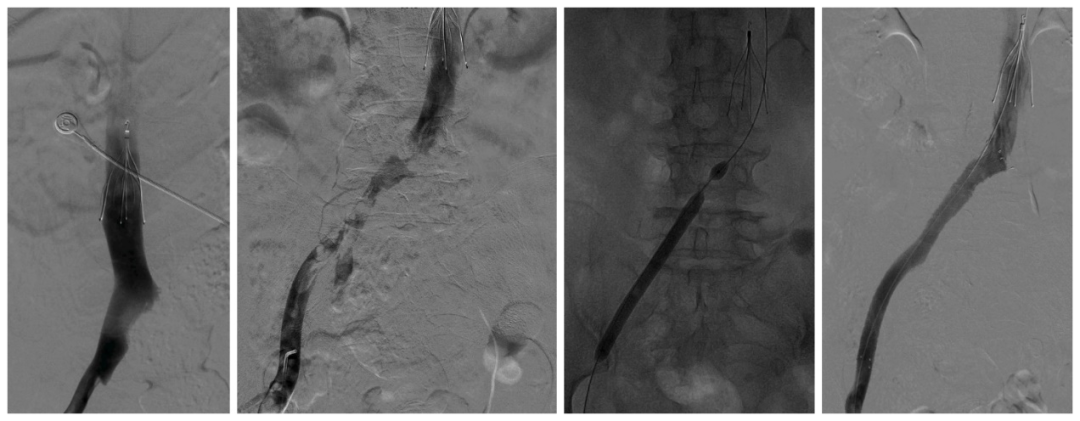
        原来该女士来自河南,正在济宁探亲,突感下肢肿胀发凉,不能活动,到当地医院就诊后 ,又紧急来到济宁市第一人民医院。经检查发现,该患者左髂、股静脉大面积血栓,患者左下肢肿胀疼痛明显,皮肤张力高,下肢紫绀,麻木,左侧股动脉搏动极其微弱,左侧足背动脉搏动不能扪及,是非常典型的“股青肿”表现。
 
        据悉,股青肿是下肢深静脉血栓一种少见但非常严重的类型,其临床表现主要为广泛下肢肿胀疼痛,皮肤张力增高,伴有水疱或血疱,颜色呈青紫色,皮温冷,足背动脉搏动常不能扪及。该病起病急且病情进展迅速,如不及时诊治,患者常面临截肢甚至死亡的风险。
 
 
        病情紧急,在与患者家属交流同意后,一场深夜急诊手术随即进行。手术由济宁市第一人民医院血管外科孟冉冉主治医师完成,在下腔静脉滤器置入后,进行AngioJet吸栓加球囊扩张加支架植入,经过紧急救治,患者感觉下肢肿胀疼痛缓解,左下肢皮肤颜色及温度逐渐恢复正常,后在管床大夫付顺医师及护理人员的悉心照料下,患者最后痊愈出院。
 
 
       济宁市第一人民医院血管外科高鹏主任介绍,下肢深静脉血栓形成是下肢深静脉血液因各种原因导致不正常凝结影响下肢静脉回流的疾病,血栓一旦脱落可导致肺栓塞,甚至猝死危及生命。股青肿是下肢DVT的特殊类型,对于股青肿患者,尽快解除静脉梗阻,减轻血栓负荷至关重要,否则有截肢风险。随着腔内介入治疗器械技术的发展,介入微创治疗下肢深静脉血栓早已成主要治疗方式,济宁市第一人民医院血管外科也积累了丰富的技术优势及临床经验,使更多患者得到成功救治。
 
链接:
 
济宁市第一人民医院血管外科简介
 
一、科室现状与人才梯队
 
济宁市第一人民医院血管外科组建于2010年,是鲁西南地区首家专业独立的血管专科,经过多年来的不懈努力,血管外科已成为山东省临床重点专科。自成立以来,科室先后独立开展了微创腔内修复治疗主动脉夹层、腹主动脉瘤,微创腔内成形治疗外周动脉闭塞,一站式治疗下肢深静脉血栓形成,小切口点式内翻剥脱联合泡沫硬化剂微创治疗下肢静脉曲张、颈动脉支架及颈动脉内膜剥脱术治疗颈动脉狭窄、布加综合征的微创介入治疗、糖尿病足一站式保肢治疗等均获得了满意疗效,目前科室规模及技术水平均达到省内领先水平。目前是山东省医学会及医师协会血管外科分会副主委单位,近年开展了一系列新技术、新疗法,为血管疾病患者带来了福音。
 
二、业务范围及特色
 
利用原位开窗、分支支架、烟囱等多种技术腔内微创治疗胸腹主动脉瘤、主动脉夹层;通过微创、手术或联合运用多种方法治疗多节段多病变的下肢动脉硬化闭塞症;利用抗凝、机械性吸栓、溶栓、可回收滤器植入、支架植入等多种手术方式一站式治疗下肢深静脉血栓形成;开展小切口点式剥脱联合泡沫硬化剂注射术微创治疗下肢静脉曲张;通过介入、清创、负压引流一站式治疗糖尿病足;颈动脉内膜剥脱术、脑保护伞保护下颈动脉支架植入等方法治疗颈动脉狭窄;采用微创腔内球囊扩张治疗布加综合征;从腋静脉、颈静脉、股静脉等多种入路完成输液港植入。血管瘤和脉管畸形的介入微创、手术切除治疗;锁骨下动脉、肾动脉、肠系膜动脉病变的微创介入及手术治疗。
 
返回顶部

  • 总院区:济宁市任城区健康路6号
  • 东院区:济宁市高新区孟子大道269号
  • 西院区:济宁市任城区柳行路99号
  • 24小时服务电话:0537-6056666
  • 急诊120电话 : 0537-2257120

济宁市第一人民医院

24小时服务电话
0537-6056666
  • 微信服务号

  • 微信订阅号

  • 微信视频号

  • 抖音号

Copyright © 2019 www.jnrmyy.com. All rights reserved. 济宁市第一人民医院版权所有
鲁ICP备09036553号-2 技术支持:启航网络