- 24小时服务电话
- 0537-6056666
-
微信服务号
-
微信订阅号
-
微信视频号
-
抖音号

新闻中心

—新设备的优势—
★扫描速度更快!在不影响图像质量的同时,成倍提升扫描速度。普通磁共振仪器单部位检查一般要15-20分钟, SIGNA Architect 3.0T磁共振可节约至少三分之一的时间。

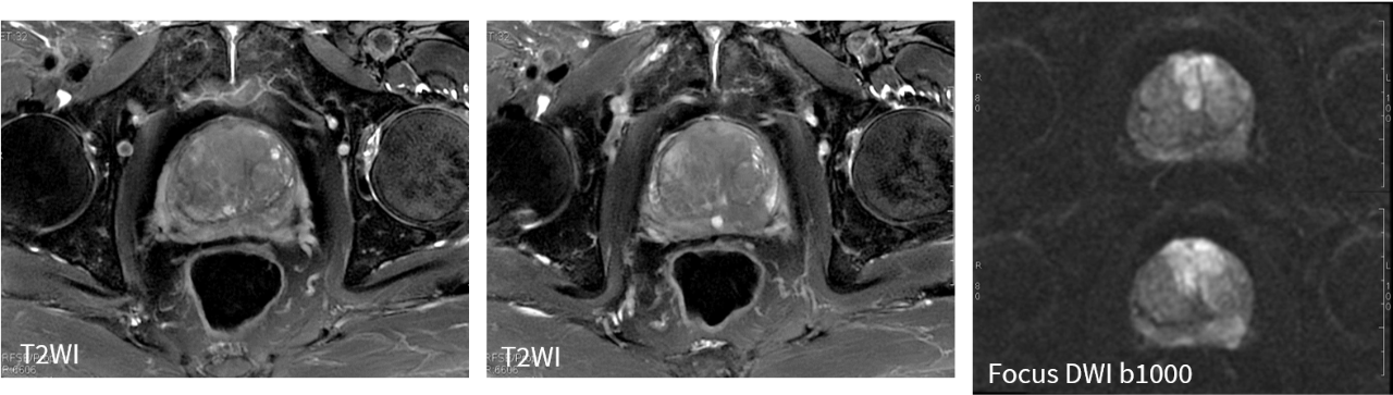
★图像质量高清!实现精准临床科研成像,高清的图像质量,可实现微小病灶的精细显示与分析,让病灶无处遁形,尤其在肿瘤和损伤的诊断方面独具优势。

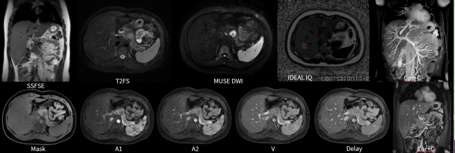
★应用范围更广!能够完成包括神经系统、胸部、腹部、盆腔、心血管、骨骼关节、软组织、乳腺等全身各部位磁共振检查。

★患者检查更舒适!70cm大孔径减少了患者以往检查的幽闭恐惧感,便于腹围过大的患者进行检查,如大量腹水患者,腹部巨大肿块患者。
★检查过程更便捷!搭载air魔毯线圈的磁共振,将突破传统“绑线圈”的限制,仅需将“毛毯”盖在身上即可,为患者带来了全新的检查体验。

超高端3.0T磁共振的开机启用,标志着济宁市第一人民医院影像诊断技术水平向着精细化更进一步,对提高医院医疗诊断水平和综合技术能力具有重大而深远的意义。