- 24小时服务电话
- 0537-6056666
-
微信服务号
-
微信订阅号
-
微信视频号
-
抖音号

新闻中心
随着低剂量CT扫描的普及,孤立性肺结节的检出率已提高到8%~51%,其中恶性肿瘤的发生率为3.8%~13%。肺癌患者的整体五年生存率低至15%,但在早期发现早期治疗五年生存率可高达80%。因此,肺癌的早期发现和治疗对生存至关重要。胸腔镜手术对周围型肺小结节(PPN)的诊断和治疗有重要帮助。然而,磨玻璃样阴影(GGO),或亚厘米结节,通常位于胸膜表面深处,在胸膜表面没有特殊的视觉标记,在手术中往往很难定位。在术中尽快对肺小结节精确定位、最大限度地精准地切除肿瘤以及最大限度地保护肺功能,是胸外科医生面临的重要课题。
日前,济宁市第一人民医院呼吸与危重症医学科边翠霞主任团队与胸外科蔡海波主任团队成功完成LungPro导航引导下气管镜染色定位,对磨玻璃肺结节精准楔形切除手术,这也是在鲁西南地区率先开展的一项技术。
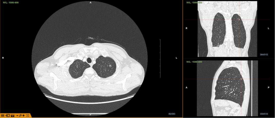
患者,男,57岁。胸部CT显示检查显示,左肺上叶结节影,恶性不除外,建议进一步检查。

经LungPro增强现实光学全肺诊疗导航系统评估分析,患者病灶位于左肺上叶尖段,大小约8*10mm,临近胸膜。为方便定位,明确诊断,呼吸与危重症医学科边翠霞主任团队与胸外科蔡海波主任团队决定应用LungPro增强现实光学全肺诊疗导航系统引导下在气道注射亚甲蓝进行病灶染色定位,然后行胸腔镜下外科手术。

术中进镜顺利,LungPro增强现实光学全肺诊疗导航系统引导支气管镜至左肺上叶尖段远端细支气管,注药导管依据导航进入相应部位并注入亚甲蓝染色液。随后胸腔镜下根据染色点快速定位。




切除后发现肺结节与染色处相距仅5mm,术中快速病理显示病灶处浸润性腺癌,随后予以肺段楔形切除术。达到了预期诊治效果。
LungPro导航引导下的支气管镜染色技术已逐渐成为一种常规经支气管的定位工具,可辅助PPN的微创切除。该技术可以在手术室进行定位,辅助外科精准切除,具有无创、经济、定位精准的特点,该技术为磨玻璃肺结节的精准切除提供了保障。

边翠霞,济宁市第一人民医院呼吸与危重症医学科副主任、呼吸介入诊疗中心主任、主任医师、硕士生导师。
中国医师协会内镜医师分会委员、中国医药教育协会介入微创呼吸分会副主任委员、山东省医学会呼吸病学分会副主任委员、山东省老年学会呼吸介入诊疗分会副主任委员、山东省公共卫生学会介入呼吸病学分会副主任委员、山东省医师协会呼吸疾病介入医师分会基层协作组组长、山东省医师协会呼吸疾病介入医师分会常委、山东省医师协会诊断专业委员会常委、山东省医学会呼吸分会呼吸介入学组委员、广东省胸部疾病学会呼吸介入专委会常委、鲁西南大气道狭窄专科联盟理事长、济宁市医学会呼吸病学分会主任委员、济宁市呼吸内科质量控制中心主任、济宁市大气道狭窄诊治中心主任、济宁市医学会呼吸病学分会呼吸介入学组组长。

蔡海波,教授、医学博士、副主任医师、硕士研究生导师、济宁市第一人民医院 胸外科副主任兼胸外二病区主任。
山东省医师协会胸外科医师分会委员、山东省医学会胸外科分会委员、山东省临床肿瘤学会食管癌分会青委会副主任委员、山东省临床肿瘤学会青委会副主任委员、济宁医学会心胸血管外科副主任委员、济宁市医学会胸外科分会副主任委员。