- 24小时服务电话
- 0537-6056666
-
微信服务号
-
微信订阅号
-
微信视频号
-
抖音号

新闻中心

【专家介绍】
梁志远,济宁市第一人民医院骨关节外科副主任医师,医学硕士。
【基本信息】
一般情况:女性,46岁。
主诉:左膝关节疼痛伴屈伸活动受限40余年。
现病史:40余年前患者无明显诱因出现左膝关节的屈伸活动受限,可屈曲但无法主动伸膝,伴有膝关节疼痛,疼痛不重,无法自主行走,膝关节在屈曲时有弹响可绞索感。多年来给予各种理疗措施无明显改善,10年前诊断为左髌骨脱位给予手术治疗,术后仍未明显改善。来我院就诊。
既往史:2020年车祸外伤致锁骨骨折并手术病史。
体格检查:T:36.4℃,P:71bpm,R:15次/分,BP:143/75mmHg,疼痛评分 静息状态0分,屈膝状态 3分,营养评分 0分,VTE评分2分。左膝关节轻度肿胀,左膝关节切口瘢痕愈合,无红肿,皮温正常。膝关节无法自主伸直,可被动伸直,可屈曲正常角度。在伸直和屈曲时髌骨均固定脱位于股骨外侧髁外侧,髌骨周围局部压痛明显。浮髌试验阴性,前后抽屉试验阴性,下肢感觉血运正常,其他专科查体未见明显异常。
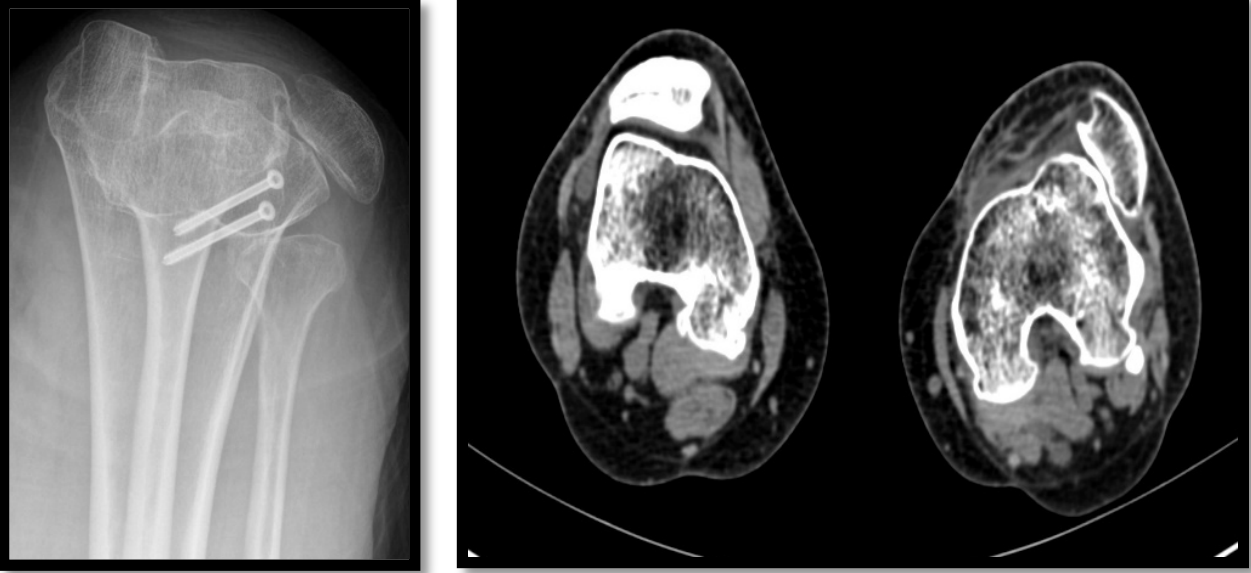
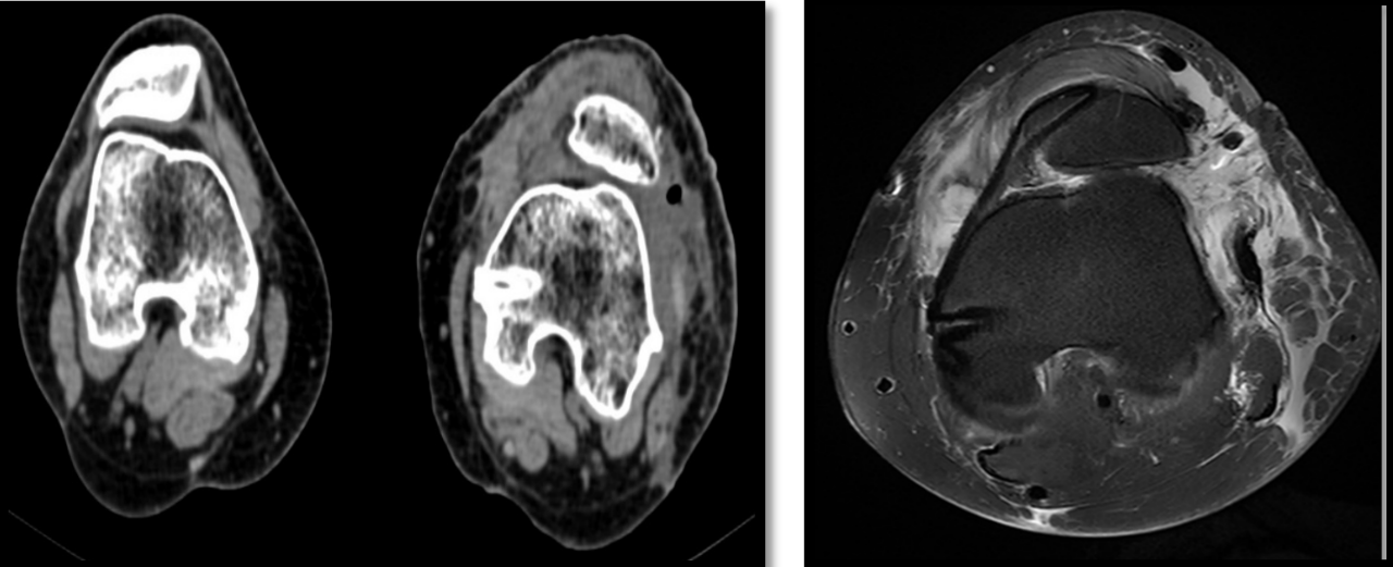
【影像学检查】

【诊断】左侧髌骨固定性脱位
【入院治疗方案】完善术前常规检查,准备择期手术治疗。

