- 24小时服务电话
- 0537-6056666
-
微信服务号
-
微信订阅号
-
微信视频号
-
抖音号

新闻中心

【专家介绍】
许海燕,济宁市第一人民医院产科副主任医师,医学硕士,产科副主任,兼胎儿医学亚专科副主任。
专业特长:遗传咨询、产前诊断、前置胎盘、胎盘植入、双胎妊娠等产科疑难危重症的诊断与治疗等。
社会兼职:山东省妇幼保健协会产科安全与快速反应专业常务委员;山东省医学会干细胞临床研究与应用分会委员;山东省转化医学学会孕产妇健康管理分会委员;济宁市医学会产科专业委员;济宁市医学会妇幼保健分会副主任委员。
撰写论文及著作十余篇,科研课题3项。多次参加医院及市级省级妇幼技能大赛,多次获得嘉奖并被授予济宁市五一劳动奖章。
【基本信息】
一般情况:青年女性,29岁;因“停经8月余,胎盘位置异常5月余”于孕35周收入院。
辅助检查:
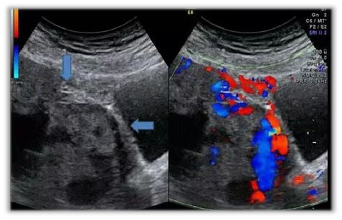
孕34周5天超声:胎盘位置:子宫下段的四壁(前、后、左、右侧壁),厚约7.7cm,胎盘下缘完全覆盖宫颈内口,胎盘内探及数个血窦回声,前壁下段胎盘与子宫肌层分界不清晰,胎盘后方探及异常丰富血流信号,子宫及膀胱浆膜层部分中断。宫颈长度约2.3cm,宫颈形态失常,宫颈内口处胎盘厚度约6.1cm,宫颈后唇探及血窦回声。

胎盘植入超声评分:12分(对胎盘植入凶险等级进行预测评分,评分≥10分,预测为穿透型胎盘植入)
盆腔MRI平扫:符合完全性前置胎盘MRI表现,子宫前壁下段肌层明显变薄,胎盘与子宫肌层交界面显示不清,考虑胎盘植入。
入院诊断
1.胎盘植入(穿透型)
2.完全性前置胎盘
3.妊娠合并子宫瘢痕
4.35周妊娠 G5P1 LOA
入院后完善相关术前检查,胎盘疾病MDT团队进行多学科讨论,涉及可能参与抢救的多个学科(产科、妇科、新生儿科、麻醉科、输血科、介入科、泌尿外科等),制定个体化的围手术期方案:1、患者诊断明确,孕周已超过34周,胎儿基本成熟,建议促胎肺成熟后终止妊娠;2、由于患者及家属保留子宫意愿强烈,为减少术中出血量,增加保子宫概率,拟定术前行双侧髂内动脉球囊放置术;3、手术难度大,术中做好保宫失败时切除子宫的准备;4、高评分患者术中大量出血风险大,术中拟采取自体血回输,同时术前充分备血。
【手术经过】
术前行预防性双侧髂内动脉球囊封堵术,剖宫产术中打开腹壁见子宫前壁下段血管丰富迁曲,胎盘植入达子宫浆膜层,局部向外膨出。子宫切口取体部横切口避开胎盘,减少胎儿失血,娩出一早产婴儿,Apgar评分10分,术中新生儿科医师会诊,早产儿转新生儿监护病房。
胎盘完全覆盖宫颈内口,整个胎盘均植入宫壁,前壁胎盘深层植入达浆膜层,胎儿断脐后充盈双侧骼内动脉球囊,术中每间隔30分钟双侧骼内动脉球囊放液1分钟。胎儿娩出后快速、多途径联合使用宫缩剂。手术方式采取多种止血方式相结合,双侧子宫动脉上行支结扎术+宫颈提拉缝合术+子宫捆绑式缝合术+宫腔球囊压迫术。
首先分离并下推膀胱,快速剥离胎盘并剪除深层植入的胎盘组织;胎盘剥离困难,子宫出血凶猛如泉涌,短短几分钟出血量已达1000ml以上;立即“T”形切开子宫下段充分暴露宫腔,胎盘剥离面多点给予“波浪式”、“编织状”及“四边形”等缝合,宫颈内口处广泛渗血,艾丽斯钳夹宫颈内口行宫颈提拉缝合,同时结扎双侧子宫动脉上行支减少子宫血供。
这时出血量已达3000ml,但此时子宫收缩变差,子宫呈囊袋状,出血依然较多。追加宫缩剂同时采用子宫改良背带缝合并在子宫下段放置宫腔压迫球囊压迫止血。
观察宫腔及宫颈内口无明显出血,保宫成功。
术中出血约3800毫升,给予自体血回输+成分输血进行循环支持。术毕取出双侧髂内动脉球囊。术后抗生素预防感染,静滴缩宫素促宫缩,及低分子肝素抗凝治疗,观察宫腔出血少量,24小时后取出宫腔压迫球囊。术后复查血常规:血红蛋白 106g/L。术后第六日复查盆腔超声:宫腔线基本清晰,患者顺利出院。
【病情回顾与经验总结】
胎盘植入是指胎盘组织异常侵入子宫肌层,是产科严重的并发症之一,是孕期导致子宫破裂、严重产后出血,多器官损伤、紧急子宫切除甚至孕产妇死亡的重要原因。
该患者既往剖宫产史,孕期多次彩超提示完全性前置胎盘、胎盘植入,胎盘植入超声评分预测为穿透型,手术难度极大。对这部分患者需制定个体化的治疗方案,积极进行多学科团队的合作,降低不良结局发生率。择期剖宫产术是治疗前置胎盘、胎盘植入的首选方式。手术中通过娴熟的手术技巧,灵活采取各种缝合止血技术,同时配合采用各种子宫血管缝扎、宫腔填塞及血管栓塞技术。术中密切关注失血情况及孕妇生命体征,采用自体血回输稳定循环。若采取各项止血措施均无效时应果断切除子宫。