
自2022年,医院每半年举办一次内科系统救治成功病例及外科系统高难度手术病例大赛,截至目前,已成功举办四期。大赛的举办旨在推进年轻医师规范化诊疗进程,提高年轻医师规范化诊疗水平,建立科学诊疗思维逻辑,锻炼年轻医师诊疗、沟通、演讲等技巧,同时也为年轻医师提供一个沟通交流、展示自我的平台。为了更好地提高公众对医疗服务的认知和满意度,现特设专栏,展播优秀病例......
林华鹏,济宁市第一人民医院肝胆外科,副主任医师,医学博士,硕士研究生导师。
专业特长:曾于英国帝国理工大学附属医院、上海中山医院、山东省肿瘤医院进修学习,擅长肝癌、胰腺癌、胆管癌、胆囊癌、梗阻性黄疸的微创外科治疗及综合治疗;胆囊结石,胆管结石的微创治疗;终末期肝病导致的脾功能亢进及门脉高压症的外科治疗。
社会兼职:中国抗癌协会肝脏肿瘤整合康复专业委员会委员、山东省中医药学会急腹症专业委员会常委、山东省医师协会肝胆分会委员、山东省医学会外科学分会第八届委员会移植学组委员、山东省卫生信息与健康医疗大数据终末期肝病MDT专业委员会委员、山东省康复医学会肝胆分会委员,济宁市医学会肝胆胰脾外科分会委员。
在国内外专业杂志发表多篇论文,其中被SCI期刊收录2篇;主持山东省医药卫生课题2项。
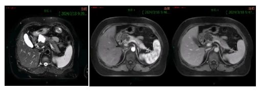
一般情况:女性,59岁。患者半天前于外院查胸部CT:胰头部占位,不伴有腹部疼痛。未行特殊治疗。既往高血压病史5年、Ⅱ型糖尿病病史5年。
血生化:总蛋白58.7g/l,白蛋白37.4g/l,余指标正常范围内。
血常规:血红蛋白151g/L,白细胞 14.54×10^9/L,中性粒细胞 89.2%,血小板 253×10^9/L,CRP 31.99mg/L。
肿瘤标志物:CA-199 11.7U/ml,CEA 0.80ng/ml,甲胎蛋白 3.76ng/ml。


【入院治疗方案】完善术前常规检查,准备择期手术治疗。
治疗需求:寻求最小手术创伤完整切除肿瘤,最大程度保护胃肠功能及胰腺功能。
手术方式:机器人辅助-腹腔镜下胰颈部肿物切除术+胰腺空肠吻合术。
传统的胰腺颈部肿瘤的手术类型主要有以下几种:胰十二指肠切除术、胰体尾切除术+脾切除术、全胰切除术。手术缺点则是过多切除胰腺组织,会导致胰腺内外分泌功能障碍,部分患者胰腺功能受影响较大,需要长期口服胰酶制剂和糖尿病药物,并且消化道重建会带来消化功能障碍、反流性胆管炎等问题,影响患者生活质量。因此,更多保留胰腺组织功能的手术应运而生-胰腺中段切除术(central pancreatectomy, CP)。随着胰腺外科微创技术的发展,腹腔镜胰腺中段切除术(laparoscopic central pancreatectomy, LCP)在大的胰腺中心已经开展。胰腺中段切除术操作难度大,肿瘤常紧邻脾动脉、静脉,手术时易损伤脾脏的血管,导致大出血。根据中国胰腺囊性肿瘤诊疗指南以及综合考虑患者病情,经科室主任及治疗小组讨论后一致决定,拟行机器人辅助-腹腔镜胰颈肿瘤切除术。
手术方式的实施是建立在医院先进的医疗器械平台基础上,目前科室已经熟练掌握腹腔镜下胰腺常规手术(腹腔镜下胰十二指肠切除术,腹腔镜胰体尾切除术等),因此,我们顺利开展了机器人辅助LCP高难度微创手术。手术优点:术中出血少,肿瘤切除彻底;避免切除过多的胰腺组织,最大程度保留了胰腺内外分泌功能;吻合方式更符合生理情况,手术保留了胰头及十二指肠,保持了消化道的生理连续性,降低了吻合口的发生率,胃肠功能恢复快,保留了胆道系统,避免胆肠吻合术后反流性胆管炎发生率,保留脾脏功能,减少术后出血;降低围手术期感染。
病情回顾与经验总结:患者中年女性,胰颈部肿瘤诊断明确,手术指征明确,如患者采用传统手术方式,将给患者生活质量及心理带来巨大影响,告知患者病情及手术方式和替代手术方案后患者家属同意行机器人辅助-腹腔镜下胰腺中段肿瘤切除术,该手术方式难度极高,但手术非常成功,患者术后恢复好,随访至今未见明显不良反应,患者已经恢复正常工作和生活,该手术的顺利开展展现了肝胆外科团队高超的微创诊疗技术和强大的疾病救治能力。
此外,机器人辅助高难度微创手术的成功开展,标志着医院肝胆外科在腹部外科微创领域达到国家级水平。