
自2022年,医院每半年举办一次内科系统救治成功病例及外科系统高难度手术病例大赛,截至目前,已成功举办四期。大赛的举办旨在推进年轻医师规范化诊疗进程,提高年轻医师规范化诊疗水平,建立科学诊疗思维逻辑,锻炼年轻医师诊疗、沟通、演讲等技巧,同时也为年轻医师提供一个沟通交流、展示自我的平台。为了更好地提高公众对医疗服务的认知和满意度,现特设专栏,展播优秀病例......

王冠群,济宁市第一人民医院重症医学科,主治医师,硕士研究生。
从事临床工作近10年,擅长重症神经疾病的诊治,应用以经颅多普勒超声、脑氧、脑电监测、BIS监测、诱发电位、事件相关电位检测等技术为主的脑多模态监测指导重症神经疾病的治疗。
一般情况:女性,23岁
主诉:尿检异常14年,发热、咳嗽、憋喘2天
现病史:
患者2010年因肉眼血尿就诊于我院,查尿常规示蛋白、潜血阳性,肾功未见异常,后于济南**医院行肾穿刺活检示IgA肾病,给予激素治疗。2011年就诊于北京**医院,给予激素联合马替麦考酚酯治疗,后复查病情好转,约5年前药物逐渐减停,期间无不适,未再复查。2024年3月1日因全身乏力就诊于当地医院查肾功示尿素35.89mmol/L,肌酐971.3umol/L,尿酸591.3umol/L,尿常规示尿蛋白2+。当天于我院办理住院,给予纠酸、保肾、利尿、补钙、输血、控制血压等治疗。患者病情已达尿毒症期且拒绝透析治疗,病情不稳定,家属要求出院,2024.03.12办理自动出院。出院当天患者受凉后出现发热、咳嗽伴有憋喘加重,体温最高38.5℃,伴畏寒,平卧症状加重,伴有心慌,在家自服药物对症治疗,效果欠佳,03.14为进一步治疗来院急诊,急诊以“急性心力衰竭、尿毒症、社区获得性肺炎”收入院。
病情变化:
在肾内科住院期间突发室颤、心跳呼吸骤停,气管插管球囊辅助呼吸、持续胸外心脏按压入ICU,心肺复苏总计27分钟恢复自主呼吸心跳。
诊断:
1.慢性肾功能不全尿毒症期
2.心室颤动
3.缺血缺氧性脑病
4.心源性休克
1.先导病因:间断CRRT,补钙补钾,纠正电解质紊乱
2.神经:镇痛镇静抗交感:瑞芬太尼+丙泊酚+咪达唑仑+右美托咪定 降低脑代谢 控制体温在正常范围
3.炎症、免疫、凝血基本正常,未特殊干预
4.血流动力学:负平衡策略减轻心脏负荷,地高辛强心改善心功能
5.脏器支持:抑酸护胃护肝、肠内营养
6.呼吸:机械通气、送检病原学,间断行纤支镜检查吸痰,经验性予以哌拉西林他唑巴坦+奥司他韦。
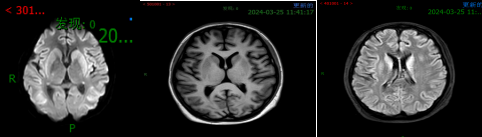
脑复苏核心:


颅脑MRI:多发皮层信号异常

脑复苏后监测:
转归:患者成功拔除气管插管,神志转清,言语清楚,四肢肌力大致正常,逐步恢复正常生活与学习。
对于突发心跳呼吸骤停的患者只有得到高质量的心肺脑复苏,才能将生存的希望最大化;三位一体(脑血流、脑氧、BIS监测)为导向的目标体温管理使镇痛镇静的神经保护作用发挥到极致。只有每一个细节都尽善尽美,才能使患者获益最大化,只有我们认真守护病人,不放过任何一个细节,才不枉患者性命相托的信赖。