- 24小时服务电话
- 0537-6056666
-
微信服务号
-
微信订阅号
-
微信视频号
-
抖音号

新闻中心

【专家介绍】




①游离鼻中隔帯蒂粘膜瓣 术中取双侧鼻孔扩大经蝶入路,神经内镜下利多卡因及肾上腺素收敛鼻腔,找到蝶窦开口,游离双侧鼻中隔粘膜瓣,用于鞍底重建修补备用,进一步显露蝶窦前壁。
②磨除鞍底 暴露蝶窦前壁,磨钻磨除蝶窦前壁,确定鞍底后磨钻磨开鞍底骨质,上至蝶骨平台,下至斜坡,双侧至颈内动脉隆起,骨窗大小约2.5cm×2.5cm,鞍底骨窗周围骨质充分磨平,显露硬脑膜。
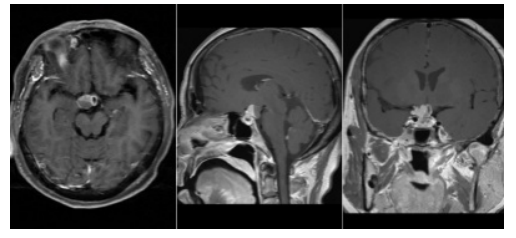
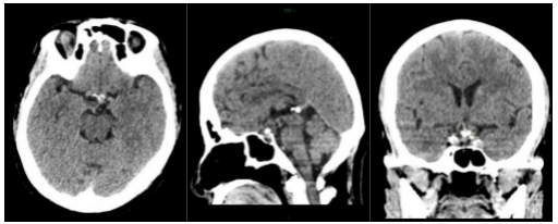
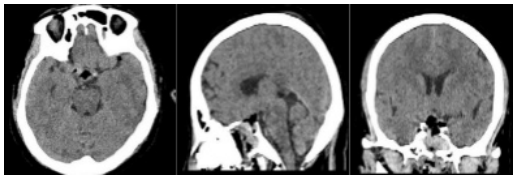
③分离切除肿瘤 术中切开硬脑,见肿瘤位于鞍上,内可一囊性病变,起源于垂体炳,可见机油样内容物,血供一般,有钙化斑,内镜下仔细分离肿瘤包膜、垂体上动脉及周围穿支血管等,切开肿瘤内减压后,将钙化灶、内容物及肿瘤分块切除,肿瘤切除后可见垂体上动脉、基底动脉、后交通动脉等血管保护完好,视交叉及供血血管无损伤,垂体柄结构完整。
④鞍底重建修补 术中高流量脑脊液瘘,鞍底重建预防术后脑脊液鼻漏,避免颅内感染,术中采用多种组织修补鞍底,使用人工硬膜内嵌至硬脑膜切缘周边,取大腿部脂肪、肌肉筋膜及鼻中隔粘膜瓣重建修补鞍底,明胶海绵填塞,最后使用碘仿纱条填塞双侧鼻腔进一步支撑并压迫止血。
⑤术后复查 肿瘤全部切除,术区无渗血。

3、预后与随访
颅咽管瘤(Craniopharyngioma,CP),是位于鞍区或鞍上区的中枢神经系统良性肿瘤,其来源于胚胎残存组织。主要临床症状:视觉障碍(视力下降、视野缺损)、颅高压症状(头疼、恶心呕吐)、内分泌功能障碍(乏力、停经泌乳、尿崩、发育迟滞、性功能下降等)、下丘脑损害症状(行为变化,昼夜节律不规律,渴感消失)等,发病率:约占颅内肿瘤的6%~9%,占儿童鞍区肿瘤的54%,人群年发生率为1.3/100万。颅咽管瘤不但不是罕见疾病,而且是一种儿童较为常见的颅内肿瘤。手术是治疗颅咽管瘤的主要手段。颅咽管瘤虽然是良性肿瘤,但位置深在,毗邻重要神经血管结构,部分患者手术难度较高,在神经外科手术技术上,被称为皇冠上的明珠。
本患者肿瘤位于鞍内及鞍上区域,呈囊实性,与下丘脑粘连紧密,伴钙化明显,视神经、垂体柄受压移位明显,毗邻重要神经血管结构,手术难度较高,术中早期瘤体中心减压可以为肿瘤的包膜外分离提供空间,尤其是一些囊性成分的减压。对蛛网膜平面进行锐性和轻柔的分离是非常重要的,可以避免供应视交叉的垂体上动脉分支血管的损伤。术中选用成角内镜可以进一步观察和切除直视下难以到达的角落里的残余肿瘤。术前通过影像学表现判断垂体柄的位置,术中根据垂体柄与肿瘤的关系,尽可能多地或完整地保留垂体柄,可减轻术后尿崩症的发生率。本患者术中视神经、垂体柄、穿支血管保护完好,肿瘤完全切除,术后患者视力下降、乏力等症状明显改善,无垂体功能低下、脑脊液鼻漏、颅内感染等并发症,患者生活质量得到很大改善,患者家属满意度较高。目前,经鼻蝶微创手术成为颅咽管瘤的主要手术方式,减少手术创伤,缩短手术时间及住院时间,也为患者降低了经济负担。