- 24小时服务电话
- 0537-6056666
-
微信服务号
-
微信订阅号
-
微信视频号
-
抖音号

新闻中心

【专家介绍】








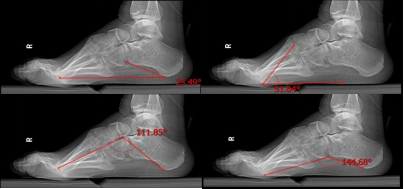
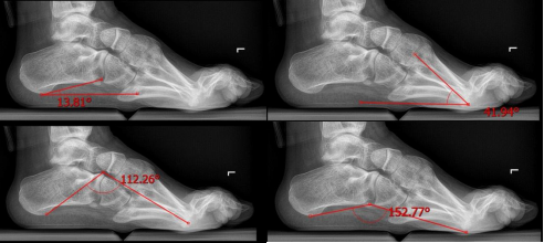
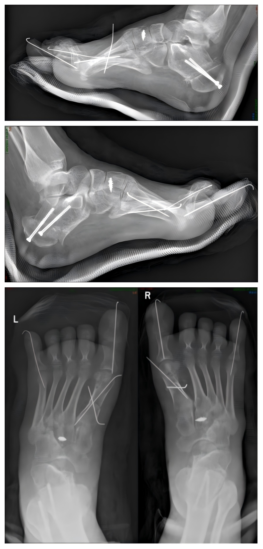
腓骨肌萎缩症是一种罕见病,2018年5月国家卫生健康委员会等五部门联合制定《第一批罕见病目录》中使用该名称。腓骨肌萎缩症主要是由于遗传因素出现下肢的渐进性活动性障碍,由于肌肉肌力的变化,导致足部及踝关节活动出现异常,手术治疗的原则是纠正足部畸形,重建和平衡足踝肌力。手术方案包括肌力平衡手术(各种类型的肌腱转移术)、软组织松解与矫形(足底筋膜切开术)、跟骨截骨矫形、腓肠肌复合体处理、踇趾矫形或其他足趾矫形手术。手术治疗有利于恢复患者的生活质量。
1、复杂肢(指、趾)体离断再植、手指再造。
2、小儿四肢先天性畸形矫形(多指、并指畸形)。
3、各种手足血管、神经、肌腱、皮肤软组织损伤、骨折的显微修复及后期功能重建。
4、关节镜微创治疗腕、踝关节疾病。
5、各种慢性缺损创面、骨髓炎等的皮瓣修复,淋巴水肿治疗。
6、臂丛神经、周围神经损伤性疾病探查、修复及功能重建。
7、外伤性踝关节损伤及陈旧性损伤后遗症纠正治疗。
8、复杂大肢体离断技术及后期四肢骨延长。
9、手足常见骨肿瘤、软组织肿物的诊治。
10、其他急慢性手外科、足踝外科疾病。