- 24小时服务电话
- 0537-6056666
-
微信服务号
-
微信订阅号
-
微信视频号
-
抖音号

新闻中心

【专家介绍】
基本信息
患者男性,69岁,主诉:突发意识丧失2小时,急诊入院。
患者约2小时前在买饭时突发意识丧失,伴恶心、呕吐,随后被送往当地医院,给予对症处理后被120送至我院急诊科,急诊科给予行颅脑CT及CTA示:蛛网膜下腔出血,右侧大脑中动脉瘤,脑室积血。急诊以“脑动脉瘤破裂伴蛛网膜下腔出血”收入院。
既往高血压病史3个月,最高血压160/90mmHg,平素服用阿司匹林药物。
入院查体:中昏迷,GCS评分3分;双侧瞳孔等大等圆,直径2.0mm,对光反射消失。刺痛四肢无明显反应,颈部抵抗明显,双Babinski sign阳性。Hunt-Hess分级4级。
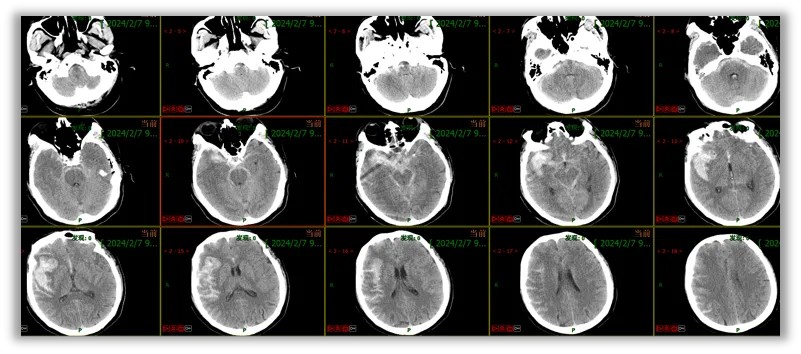
颅脑CT及CTA:蛛网膜下腔出血,右侧大脑中动脉瘤,脑室积血;Fisher分级3级。
入院初步诊断:
1、颅内动脉瘤破裂伴蛛网膜下腔出血;
2、高血压病2级(极高危组);
3、脑室积血;

入院时CT:广泛蛛网膜下腔出血,右侧裂血肿,三、脑室积血;CTA:右侧大脑中分叉部动脉瘤。

DSA:右侧大脑中分叉部动脉瘤,瘤体:3.1mm×3.2mm×2.9mm,瘤颈3.0mm,相对宽颈。
结合最新文献报道,破裂动脉瘤应在出血后尽早进行手术或血管内治疗,最好在发病后 24 小时内进行。考虑该患者长期服用阿司匹林,开颅手术创伤大、造成围手术期大出血的风险高,综合考虑,建议急诊行动脉瘤栓塞联合钻孔引流手术。
1、破裂动脉瘤瘤壁菲薄,在微导管到位及填塞弹簧圈的过程中,再次破裂出血的风险高。
2、动脉瘤相对宽颈,需支架辅助栓塞,服用双联抗血小板药物,增加围手术期出血和缺血事件发生的概率。
3、动脉瘤体积较小,瘤内操作空间狭小,增加栓塞过程中破裂出血的概率。
对此,我们采用Atlas支架辅助栓塞,填塞4枚弹簧圈,成功栓塞动脉瘤。

1、支架正确定位、释放,确保支架完全打开,预防支架内血栓。
2、填塞过程中,时刻感受微导管和弹簧圈回馈的阻力,确保无阻力填塞。
第1次手术顺利,次日复查CT,栓塞手术良好,按照原计划,进一步行血肿穿刺、抽吸、引流手术。
侧裂区血肿体积约25ml,侧裂区血管走形复杂,脑水肿高峰期,穿刺过程极易引发大出血。如何精准定位、穿刺血肿正中心?同时保护重要神经血管、并将脑组织的损伤降至最低?
工欲善其事必先利其器,我们采用神经导航,精准定位,避开重要的神经、血管,成功穿刺,一举成功。

手术顺利,引流管位置在血肿正中心,在挽救患者生命的道路上 ,又前进了一步。
手术后1个多月,患者仍处于昏迷状态,下一步如何进行?
目前患者状态:1.意识不清,偶可无意识自主睁眼;2.双侧瞳孔等大等圆,直径约2.5mm,对光反射迟钝,眼球有浮动;3.左侧上肢刺痛无明显反应;4.左侧下肢及右侧肢体刺痛可定位;5.GCS评分:9T。
查阅大量文献,经过团队详细的讨论、评估,患者处于微小意识状态,可行脊髓电刺激手术,对病人的促醒有很大帮助。
脊髓电刺激原理:通过在颈髓C2-C4水平硬膜外放置刺激电极,脉冲刺激经上行网状激活系统传至大脑皮质,增加脑供血及大脑的局部葡萄糖代谢率,促进兴奋性递质的释放,增强意识冲动及脑电活动。
脊髓电刺激分类:
短时程:微创、安全、手术时间短、费用低。
长时程:多作为二期手术(即:短时程刺激有效的情况下,再考虑行二期手术)。
该手术为我们开创性工作,为鲁西南首例,必然要承担较为沉重的压力,在家属的坚定回应和积极配合下,我们团队做好一切准备及应急方案,精益求精,最终手术取得了可喜的效果。

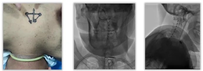
术中:全程在C臂透视下,当穿刺针到达椎板边缘时,取出针芯。连接无阻力注射器,继续推进穿刺针,直到出现“落空感”,即表示进入硬膜外腔。X光透视下,旋转穿刺针,确保斜边开口处朝向头部。在高颈髓、中线附近、硬膜外放置两条刺激电极。
电极植入C2-C4,选择尽可能高的触点(0-1+)做刺激,更容易刺激到脑干,激活上行网状激活系统;兴奋副交感神经,舒张血管,增加脑部供血。
刺激参数的选择:5Hz, 210μs, 开5min关15min, 刺激幅度达到上肢出现轻微抽搐为准, 仅在白天刺激;可以间接激活上行网状激活系统,既能增加脑血流(CBF)和脑代谢,又能诱发肌肉被动运动。
经过持续、间断电刺激,患者意识状态逐渐改善。
刺激一周左右,患者意识转变为昏睡状态,可间断配合遵嘱动作。
刺激三周左右,患者意识转清晰,四肢肌力达3+级。
随即转入康复科,进一步行综合康复训练,约在四周左右,患者可自行下地行走,可自行饮水,无呛咳。
总结与展望:
意识障碍是由于脑干上行网状激活系统或大脑皮质损伤引起的严重而持续的并发症 ,病因包括颅脑外伤、脑血管病、缺氧、中毒等。慢性意识障碍可进一步分为持续性植物状态 ( persistent vegetative state, PVS )和微意识状态(minimally conscious state, MCS)" 。在过去的10年中,随着医疗技术的发展,使得各种危 重患者的病死率明显降低,但意识障碍患者的数量却逐年递增。长期意识障碍患者不仅并发症多、治疗费用昂贵,而且给社会和家庭还增加沉重的负担。因此,对意识障碍患者进行促醒治疗,使其恢复功能,具有重大的经济意义和社会意义。脊髓电刺激作为一种物理疗法,目前已应用于慢性意识障碍患者的促醒,希望越来越多的患者能够从中获益。