【一院技术】济宁市第一人民医院胸外科成功完成高难度微创肺癌根治术——创伤小、恢复快、切口美观获点赞
来源:济宁市第一人民医院发布时间:2025-03-13
近日,济宁市第一人民医院胸外科魏育涛教授团队在鲁西南率先开展经乳晕肺段切除术,成功为一名合并严重胸廓畸形、肺功能低下的肺癌患者实施高难度微创手术。患者术后仅4天康复出院,切口美观、疼痛轻微,标志着医院在肺癌微创治疗及快速康复领域再攀新峰。
病例回放:胸廓畸形叠加肺功能差,手术风险极高

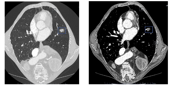
患者男性,55岁,4年前体检发现左肺上叶结节,近期随访发现结节增大至1.9cm×1.4cm,高度怀疑恶性。更棘手的是,患者50年前因严重外伤导致严重胸廓畸形,肺功能检查显示FEV1(第一秒用力呼气量)仅1.3L,仅为常人50%-60%,手术风险极大。面对这一挑战,胸外科团队经多学科会诊,决定采用“单孔胸腔镜微创手术+精准肺段切除”方案,最大限度保留肺功能,同时确保肿瘤根治效果。
技术突破:2.5cm隐蔽切口+精准肺段切除,实现“最小创伤”


3月3日,胸外科团队在单孔胸腔镜下,通过乳晕处仅2.5cm的隐蔽切口,精准完成左肺上叶舌段切除及淋巴结清扫。因患者严重胸廓畸形,解剖结构存在变异,胸腔内有黏连,胸外科主任魏育涛教授团队在术前做好规划,克服胸腔狭小、解剖变异等困难,手术用时约1个半小时,并创新性采用12F超细引流管(传统引流管直径约22-28F)和美容缝合技术,显著降低术后疼痛,提升切口美观度。
术后首日引流量仅50ml,术后3天复查CT显示左肺复张良好,第4天拔除引流管后出院。“切口藏在乳晕几乎看不到,疼痛轻微,没想到这么大的手术恢复这么快!”对于家人的快速恢复,患者家属十分感激。而这一成果也得益于济宁市第一人民医院推行的ERAS(加速康复外科)理念,通过微创技术、精细化麻醉管理及个性化护理,大幅缩短康复周期。
案例解读:个体化方案破解高难度、高风险患者手术困局
据胸外科主任魏育涛介绍,该病例的难点在于严重胸廓畸形导致胸腔结构异常,加之肺功能低下,对手术技术和麻醉要求极高。“单孔胸腔镜结合精准肺段切除,既能彻底清除肿瘤,又能尽可能保留健康肺组织,尤其适合心肺功能差的患者。”魏育涛表示,目前济宁市第一人民医院胸外科已将微创手术覆盖率提升至95%以上,年完成胸部微创手术超2000例,并在鲁西南率先开展经乳晕肺段切除术。
济宁市第一人民医院胸外科始终践行“精准、微创、快速康复”理念,此次手术的成功标志着团队在复杂肺癌手术领域取得新突破。未来,科室将继续探索技术创新,让更多患者享受“小切口、少痛苦、快康复”的优质医疗服务。