- 24小时服务电话
- 0537-6056666
-
微信服务号
-
微信订阅号
-
微信视频号
-
抖音号

新闻中心
近日,济宁市第一人民医院肿瘤科成功救治一例肺癌伴广泛脑转移重症患者,经团队精准施治,最终转危为安,目前患者恢复良好,生活完全自理。该病例的成功救治展现了济宁市第一人民医院肿瘤科诊疗实力和高效的团队协作能力。

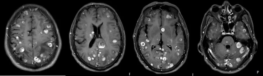
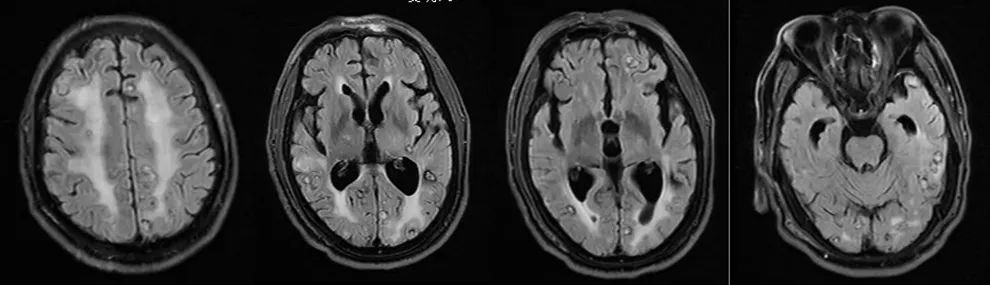
2024年9月,张先生因言语混乱、行走不稳来济宁市第一人民医院就诊,经全面检查确诊为右肺腺癌(IV期)伴多发脑转移,基因检测显示无敏感突变,影像学检查显示颅内如繁星般散布着多个转移灶,病情危急。肿瘤科陈卫东教授团队立即组织多学科会诊,制定个体化治疗方案。先行全脑放疗控制颅内病灶,同步给予脱水降颅压治疗,密切监测神经系统症状变化。放疗结束后,患者出现预期中的放射性脑水肿,一度陷入昏迷,医疗团队迅速调整方案,加强降颅内压治疗,同时给予营养支持、预防癫痫等治疗并加强卧床护理。
在医护人员的精心守护下,患者终于在昏迷3天后奇迹般苏醒,随后病情逐步稳定。目前,患者已完成后续6周期全身化疗,近期复查显示脑转移灶明显缩小,肺内病灶稳定,疾病得到有效控制。


图为:放疗前及近期颅脑MRI对比
济宁市第一人民医院肿瘤科作为山东省临床重点专科,团队实力雄厚,现已全面开展三维适形放疗、基于图像引导的调强放疗、容积旋转调强放疗等精准放疗技术,以及动脉化疗栓塞术、食管支架、CT引导下下穿刺活检及射频、微波消融术等微创介入技术。下一步,济宁市第一人民医院肿瘤科将继续秉承“以患者为中心”的理念,不断优化诊疗流程,提升救治水平,为更多晚期肿瘤患者带来希望。