- 24小时服务电话
- 0537-6056666
-
微信服务号
-
微信订阅号
-
微信视频号
-
抖音号

新闻中心
近日,济宁市第一人民医院心血管内科东院心律失常二病区团队在徐勤成教授带领下,由仲鹏主治医生及孙百陆主治医生操作,成功为多名药物治疗无效、常规射频消融失败的复杂器质性室性早搏(PVC)患者,实施了心外膜经冠状静脉酒精消融术。此项高难度技术的成功开展,标志着医院在复杂心律失常的介入诊疗领域取得了突破性进展,为深受“心病”困扰的疑难患者带来了新的希望。
室性早搏是一种常见的心律失常。对于症状明显或高危的患者,经导管射频消融是根治性的首选方法。然而,有部分患者的室早病灶位置非常特殊,位于心外膜下,即心脏肌肉的最外层。这个区域对于传统的经血管心内膜射频消融而言,如同一个“禁区”——射频能量难以穿透厚实的心肌组织有效抵达病灶,导致手术失败或术后复发。这类患者长期受频发室早的折磨,伴有心慌、胸闷、乏力等症状,甚至出现心脏扩大和心功能下降的早期迹象。在尝试了多种抗心律失常药物及常规射频消融治疗后,效果均不理想。

面对这一难题,济宁市第一人民医院心律失常团队经过严谨的术前评估和多学科会诊(MDT),决定为患者实施“心外膜酒精消融术” 。
徐勤成教授表示,我们可以把引起室早的异常心肌细胞看作“敌人”,常规射频消融是从心脏内部“隔山打牛”,效果有限。心外膜酒精消融,则像派出一支“特种部队”,通过冠状动脉的微细分支,直达病灶所在的心外膜区域,然后注入无水酒精这种“化学武器”,精准地消灭掉异常放电的病灶,对周围正常的心肌组织影响极小。
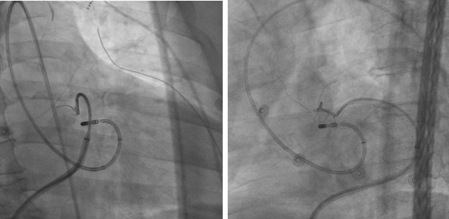
该技术操作极其精细复杂,术者需先将一根细如发丝的导管,经动脉逆行送入心脏的冠状静脉;通过冠状静脉造影,找到为室早病灶供血的微小血管;随后,将少量无水酒精精准注入该血管,造成病灶区域的化学性坏死,从而达到根治心律失常的目的。

术后,患者室性早搏均被成功消除,恢复窦性心律。术前24小时动态心电图显示高达数万次的室早,在术后已基本消失。患者们纷纷表示,长久以来心慌、漏跳的感觉不复存在,精神状态和体力也得到了显著改善。
专家提醒:虽然心外膜酒精消融技术为复杂病例带来了希望,但它主要适用于经过严格筛选、常规治疗无效的患者。广大心律失常患者仍需首先在专业医生指导下进行规范的药物或常规射频消融治疗。