- 24小时服务电话
- 0537-6056666
-
微信服务号
-
微信订阅号
-
微信视频号
-
抖音号

新闻中心
近日,济宁市第一人民医院肿瘤科微创诊疗团队成功为一名食管癌术后肝转移瘤患者行3D打印模板辅助CT引导下碘125粒子植入术。手术全程依据术前TPS精准规划、3D打印模板辅助、术中CT实时引导与术后剂量验证,达到“精准覆盖、高效杀伤、正常组织最大保护”,实现肝转移灶局部治疗的突破性进展。
病史简介:
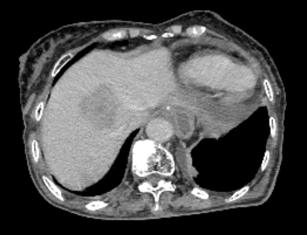
患者老年女性,食管癌术后8年,行术后放疗。近期因肿瘤标记物持续升高,3月17日复查上腹部磁共振发现肝SVIII段异常信号,考虑转移瘤。患者高龄,肝脏单发转移病灶,常规介入治疗效果差,且病灶紧邻肝静脉、门静脉分支,经医院肿瘤科微创诊疗团队与放疗团队讨论并与患者家属详细沟通治疗方案,在征求家属同意后确定行3D打印模板辅助CT引导下肝转移瘤碘125粒子植入术。
患者术前CT:

1、术前精准规划:制定三维治疗计划系统(TPS)勾画肿瘤靶区,精确规划粒子的分布范围、数量、活度及间距,确保粒子均匀覆盖整个病灶,同时避开周围的血管、胆管等正常组织,实现“局部剂量高、周围正常组织损伤小”的治疗目标。

2、术中精准引导:CT实时引导下,按3D打印模板预设粒子植入穿刺针道,术中避开大血管及胆管,实时CT扫描确认18G粒子植入穿刺针尖置于肿瘤远端预定位置后,采用退针法逐步植入碘125粒子,全程可视化操作,避免了传统手术中穿刺偏差导致的粒子分布不均或误损伤正常组织的风险。

3、术后精准验证:术后通过CT扫描重建粒子分布影像,显示碘125粒子均匀分布覆盖病灶,无冷区,与术前规划方案进行剂量对比验证,确保碘125粒子分布完全符合预设要求。



手术主操作者肿瘤科微创治疗组组长李辉表示,本次3D打印模板辅助CT引导下肝转移瘤碘125粒子植入术,严格执行术前TPS治疗计划与术后剂量验证,充分体现了科室开展肿瘤放射性粒子治疗的规范性、精准性和可靠性。此项技术的成功开展,标志着济宁市第一人民医院在恶性肿瘤精准介入治疗领域再添重磅技术,为术后复发、单发/寡转移病灶患者开辟更安全、更微创、更有效的治疗新路径。
放射性碘125粒子植入治疗是近年来肿瘤微创介入治疗领域的精准性技术,其适应症具有明确针对性,尤其适用于:
1.恶性肿瘤术后局部复发或远处转移灶,如肺癌、乳腺癌、结直肠癌、前列腺癌等引起的骨转移、软组织转移、淋巴结转移等;
2.无法耐受手术切除、全身化疗或常规放疗效果不佳的局部晚期肿瘤;
3.病灶位置特殊(如邻近重要血管、神经、脏器),常规治疗难以精准打击的复杂病灶;
4.需缓解肿瘤压迫、疼痛等症状,提升患者生活质量的姑息性治疗需求。
咨询电话:医师办公室0537-6051467|护士站0537-6051466
就诊地址:济宁市第一人民医院东院区1号楼15楼肿瘤科